Țesutul hepatic: structura, funcțiile și importanța sa în sănătatea ficatului
Țesutul hepatic este esențial pentru funcționarea corectă a organismului, deoarece ficatul găzduiește sute de procese metabolice, de detoxifiere și sinteză. Structura complexă a acestui organ permite procesarea nutrienților, neutralizarea substanțelor toxice, reglarea glicemiei și producerea compușilor necesari digestiei. Pentru a menține un ficat sănătos, este important să înțelegi cum este structurat țesutul hepatic, cum funcționează și de ce poate fi afectat în condiții de stres metabolic, inflamație sau acumulare de grăsimi.
Orice modificare structurală – inflamație, fibroză sau necroză – afectează în mod direct funcția acestui organ. Monitorizarea ficatului, menținerea unui stil de viață echilibrat și depistarea timpurie a disfuncțiilor sunt aspecte esențiale pentru sănătatea generală [1]. Iată ce trebuie să știi!
Le găsești în farmaciile:
Structura țesutului hepatic

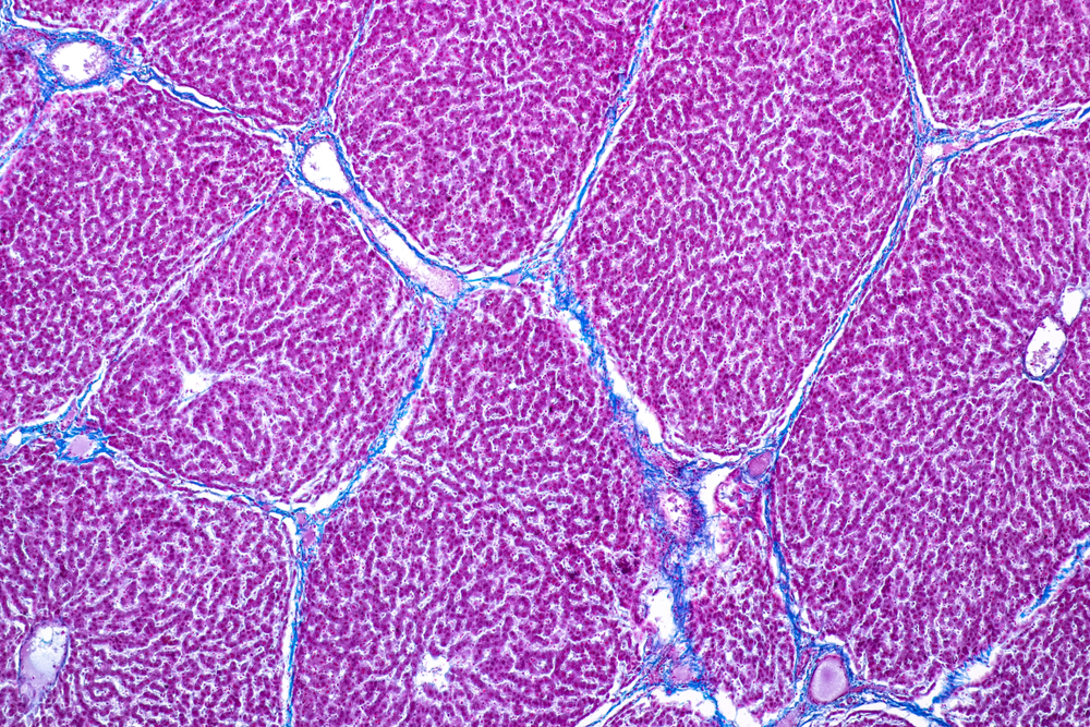
Țesutul hepatic este alcătuit în principal din hepatocite – celulele funcționale ale ficatului – care reprezintă aproximativ 80% din volumul organului. Acestea sunt organizate în lobuli hepatici, structuri care conțin vase de sânge, canale biliare și spații specializate pentru schimburile metabolice.
Mai exact, elementele principale ale țesutului hepatic sunt:
- hepatocitele, responsabile de majoritatea funcțiilor metabolice;
- sinusoidele hepatice, prin care circulă sângele și au loc procesele de filtrare;
- celulele Kupffer, cu rol imun în eliminarea toxinelor și microorganismelor;
- rețeaua de canale biliare, necesară transportului bilei;
- matricea extracelulară, care susține structura organului.
Structura compactă și organizarea în lobuli îi permit ficatului să proceseze rapid sângele care vine din tractul digestiv, să filtreze toxinele și să transforme nutrienții în compuși utili organismului. În funcție de sex și constituție, dimensiunile normale ale ficatului pot varia [1][2][3].
Funcțiile principale ale țesutului hepatic
Țesutul hepatic susține sute de funcții, multe dintre ele vitale pentru organism. Printre cele mai importante funcții ale ficatului se numără:
- metabolizarea carbohidraților, grăsimilor și proteinelor;
- neutralizarea toxinelor prin procese enzimatice;
- producerea bilei și eliminarea produselor de degradare;
- sinteza albuminei și a factorilor de coagulare;
- reglarea nivelului de glucoză din sânge;
- stocarea vitaminelor liposolubile și a mineralelor;
- funcții imunologice [1].
Regenerarea țesutului hepatic: un proces unic în organism
Ficatul este un organ intern care se poate regenera semnificativ după leziuni. Hepatocitele au capacitatea de a se divide rapid atunci când există inflamație, pierdere de țesut sau suprasolicitare metabolică. Totuși, regenerarea hepatică depinde de mai mulți factori:
- gradul afectării;
- prezența inflamației cronice;
- statusul metabolic (rezistența la insulină, greutatea corporală);
- consumul de alcool;
- alimentația și hidratarea;
- durata și calitatea somnului.
Ficatul se regenerează rapid în formele ușoare de afectare sau lent și parțial, atunci când fibroza avansează [4][5].
Cum se degradează țesutul hepatic?
Țesutul hepatic este sensibil la toxine, inflamație și acumularea excesivă de grăsimi. Factorii care duc la degradarea sa includ:
- alimentația bogată în zahăr, grăsimi trans și alcool;
- supraponderalitatea și rezistența la insulină;
- consumul de medicamente cu potențial hepatotoxic;
- infecțiile virale hepatice;
- expunerea la toxine din mediu;
- sindromul metabolic.
Pe măsură ce hepatocitele sunt afectate, apare inflamația, urmată de fibroză – depunerea de țesut conjunctiv – care rigidizează ficatul și îi limitează funcțiile. Când pierderea țesutului hepatic se accentuează, pot apărea simptome sugestive pentru insuficiența hepatică, care necesită intervenție medicală imediată [6].
Cum menții integritatea și sănătatea țesutului hepatic?
Un ficat sănătos este rezultatul unui stil de viață corect. Țesutul hepatic poate fi protejat și menținut funcțional prin:
- o alimentație echilibrată, cu aport adecvat de proteine, fibre și grăsimi sănătoase;
- evitarea consumului de alcool excesiv;
- limitarea medicamentelor hepatotoxice;
- menținerea greutății corporale în interval normal;
- activitate fizică regulată;
- hidratare corespunzătoare;
- somn suficient și odihnă.
În plus, controalele regulate pot depista precoce modificările tisulare. O evaluare hepatică periodică este recomandată persoanelor cu factori de risc, cum ar fi steatoza, diabetul sau dislipidemia [1][6].
Rolul ficatului în menținerea sănătății întregului organism
Țesutul hepatic influențează în mod direct:
- metabolismul energiei;
- digestia și absorbția nutrienților;
- procesele imunologice;
- echilibrul hormonal;
- detoxifierea organismului [1].
Orice disfuncție la nivelul ficatului afectează multiple sisteme ale organismului, motiv pentru care ficatul este considerat un organ esențial pentru sănătatea generală. Afecțiunile hepatice pot să fie depistate tardiv, uneori, deoarece ficatul poate funcționa o perioadă îndelungată fără să cauzeze simptome evidente [6].
Când trebuie să consulți un medic?
O evaluare medicală este necesară dacă apar simptome precum:
- oboseală persistentă;
- greață sau scăderea apetitului;
- dureri sau presiune în partea dreaptă;
- urină închisă la culoare;
- icter;
- modificări ale tranzitului intestinal;
- afecțiuni metabolice asociate.
Depistarea timpurie este esențială pentru prevenirea progresiei către inflamație sau fibroză [6].
Întrebări frecvente
Țesutul hepatic se poate regenera complet?
În formele ușoare de afectare, da. În stadiile avansate, regenerarea este limitată [1].
De ce nu apar simptome în fazele incipiente ale bolilor hepatice?
Ficatul are o rezervă funcțională mare, ceea ce permite compensarea îndelungată a pierderii tisulare.
Suplimentele cu rol hepatoprotector repară țesutul hepatic?
Acestea pot susține funcția hepatică, dar nu înlocuiesc măsurile ce țin de stil de viață și dietă [7].
Disclaimer: Informațiile din acest articol au scop informativ și nu înlocuiesc consultul medical. Dacă te confrunți cu simptome persistente sau ai nevoie de ajutor pentru interpretarea analizelor, consultă un medic specialist.
Surse de informare:
[1] “Liver: Where It’s Located, Function & Anatomy.” Cleveland Clinic, 18 Feb. 2021, my.clevelandclinic.org/health/body/21481-liver. Accesat în data de 21 Nov. 2025.
[2] “Liver Histology.” Kenhub, 2025, www.kenhub.com/en/library/anatomy/liver-histology. Accesat în data de 21 Nov. 2025.
[3] “Normal Liver Histology 101 | AASLD.” Aasld.org, 12 Iun 2020, www.aasld.org/liver-fellow-network/core-series/pathology-pearls/normal-liver-histology-101. Accesat în data de 21 Nov. 2025.
[4] Gilgenkrantz, Hélène, and Alexandra Collin de l’Hortet. “Understanding Liver Regeneration.” The American Journal of Pathology, vol. 188, no. 6, June 2018, pp. 1316–1327, ajp.amjpathol.org/article/S0002-9440(17)31026-X/fulltext, https://doi.org/10.1016/j.ajpath.2018.03.008. Accesat în data de 21 Nov. 2025.
[5] Michalopoulos, George K, and Bharat Bhushan. “Liver Regeneration: Biological and Pathological Mechanisms and Implications.” Nature Reviews Gastroenterology & Hepatology, vol. 18, no. 1, 6 Aug. 2020, pp. 40–55, www.nature.com/articles/s41575-020-0342-4, https://doi.org/10.1038/s41575-020-0342-4. Accesat în data de 21 Nov. 2025.
[6] “Liver Disease: Signs & Symptoms, Causes, Stages, Treatment.” Cleveland Clinic, 7 Mar. 2017, my.clevelandclinic.org/health/diseases/17179-liver-disease. Accesat în data de 21 Nov. 2025.
[7] Okopień, Bogusław. “Essential Phospholipids. Mechanism of Action in Liver Disease Explained” https://www.globalliverforum.com/dam/jcr:6cc825ea-b9aa-4ee2-be4a-5d93fc329401/Lecture%20summary_Liver%20Forum_Prof_Okopien.pdf. Accesat în data de 21 Nov. 2025.